
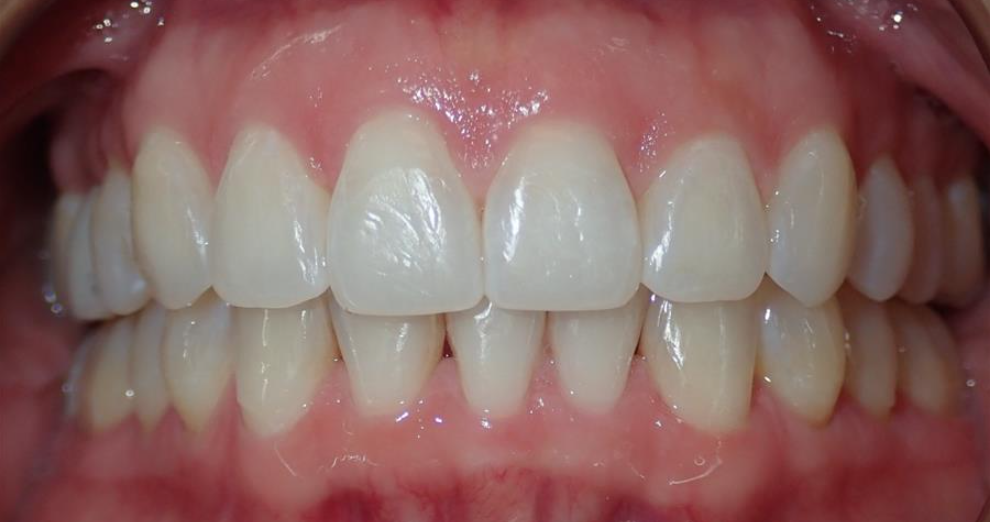
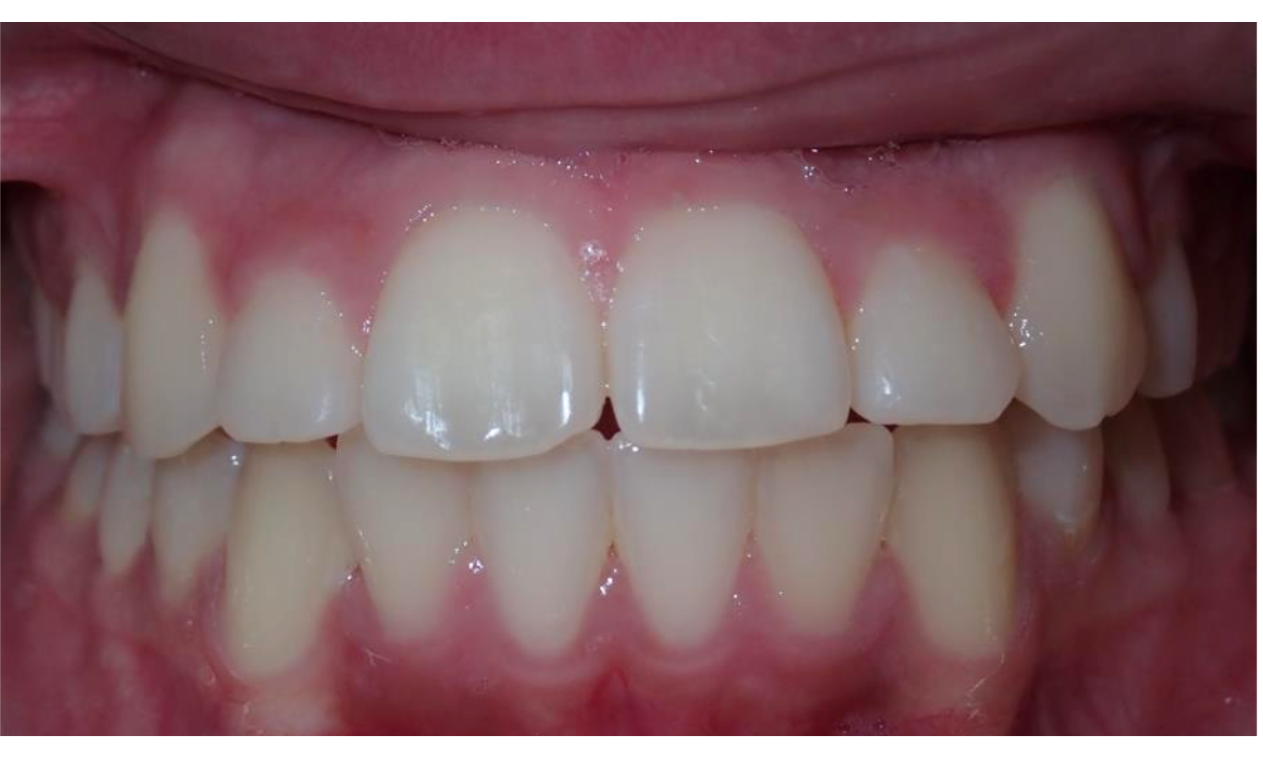
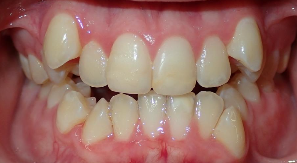
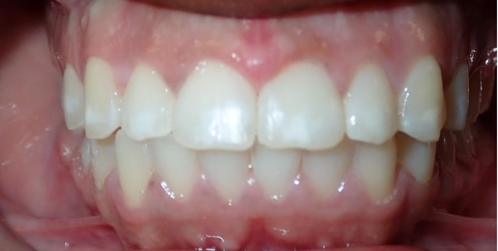
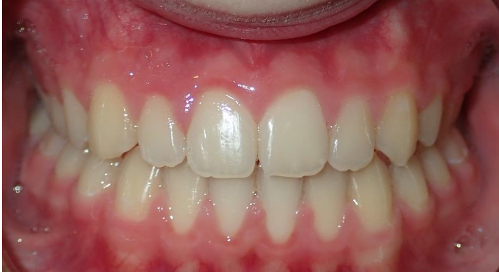
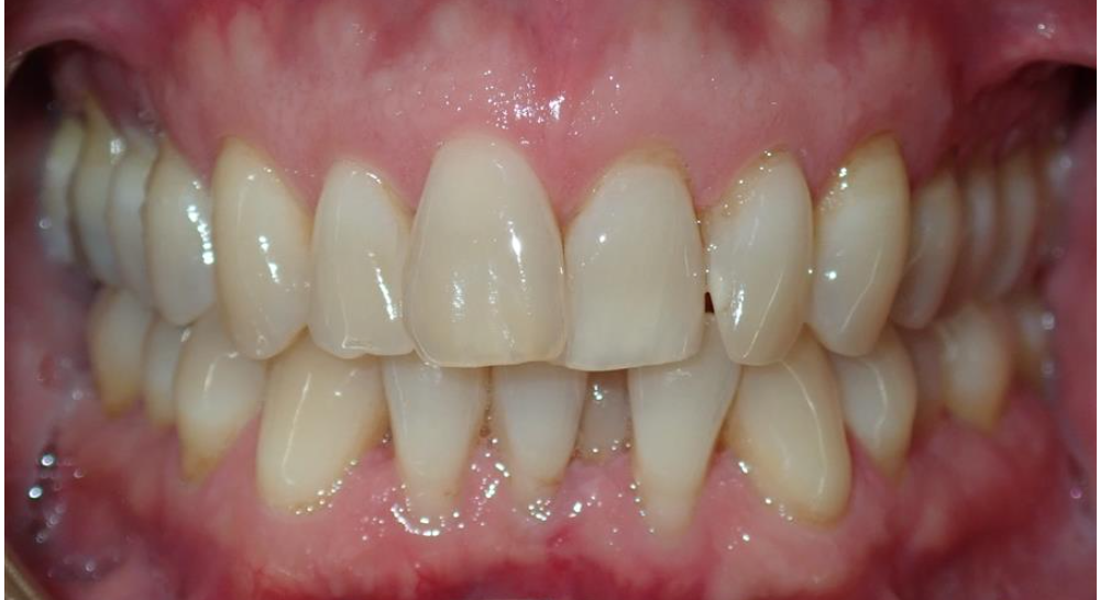
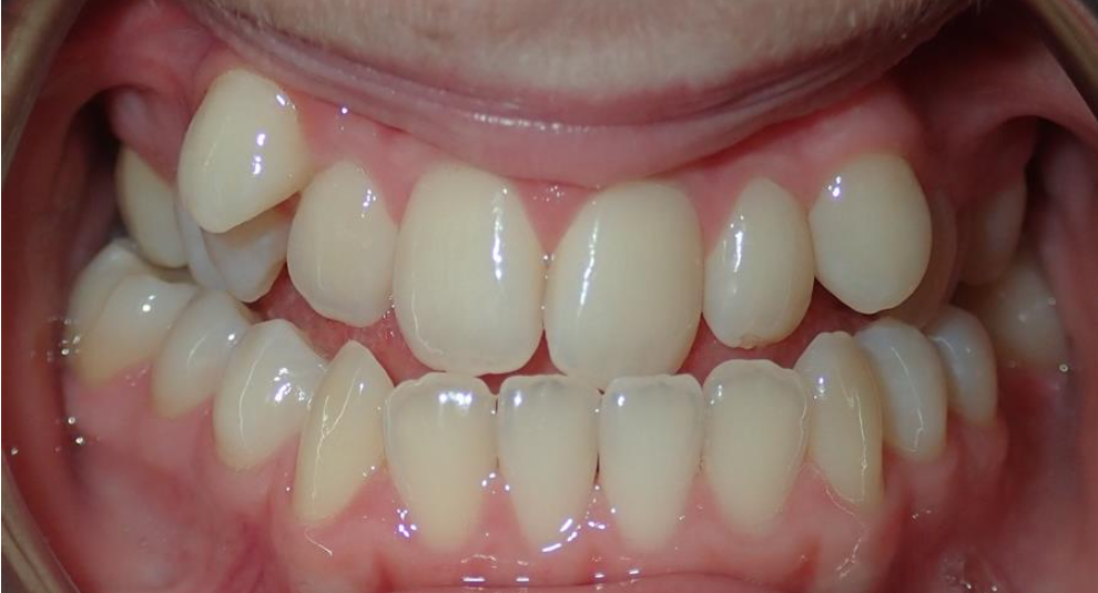
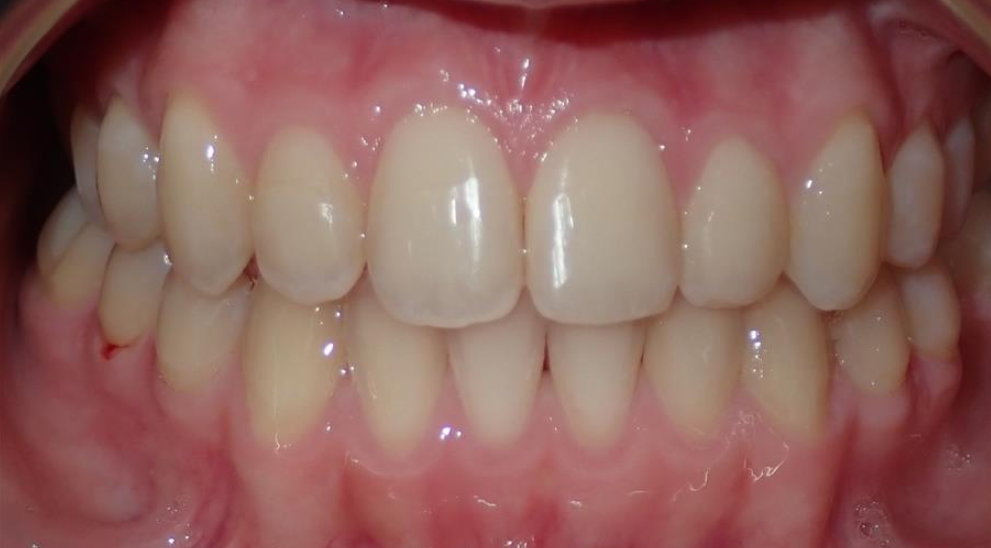
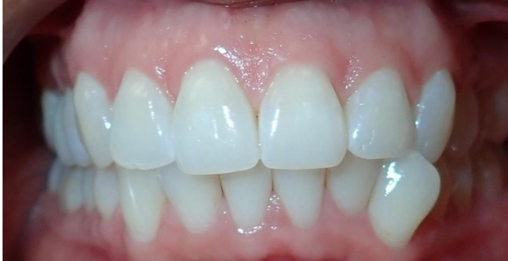
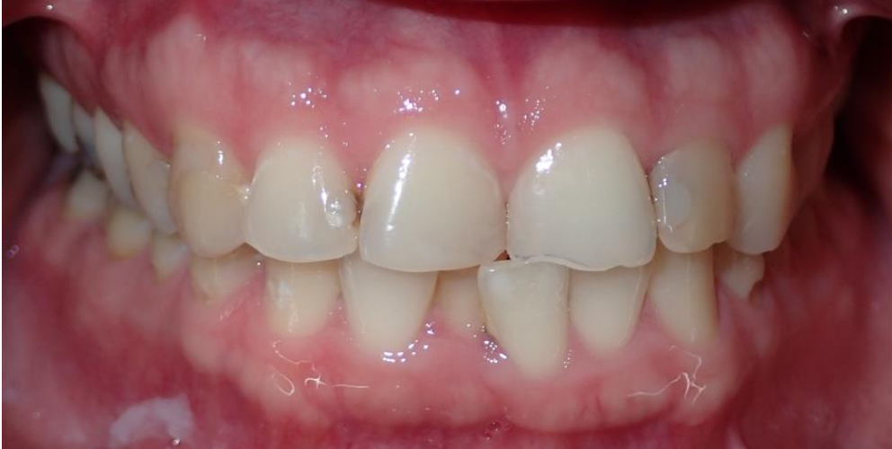
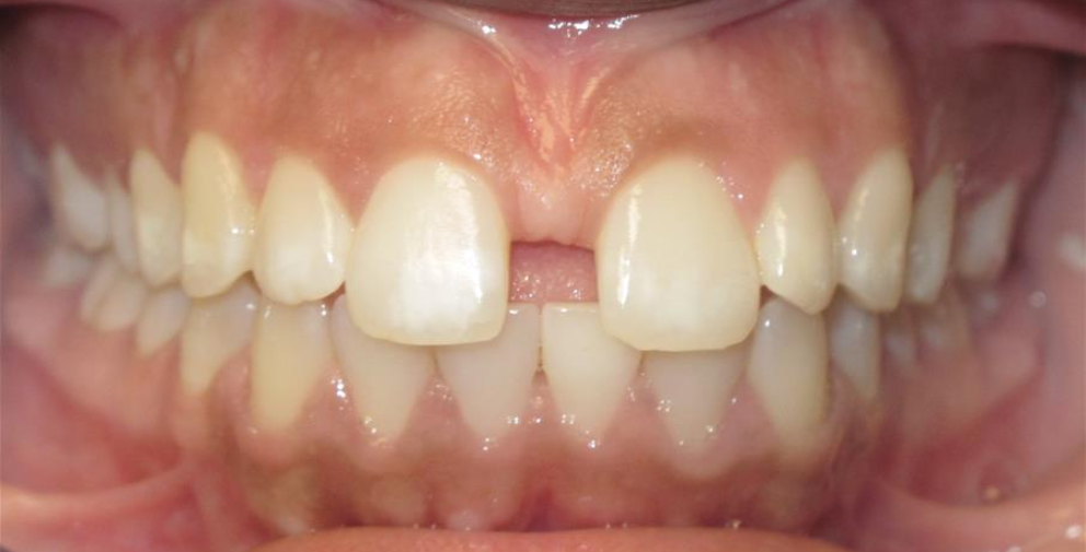
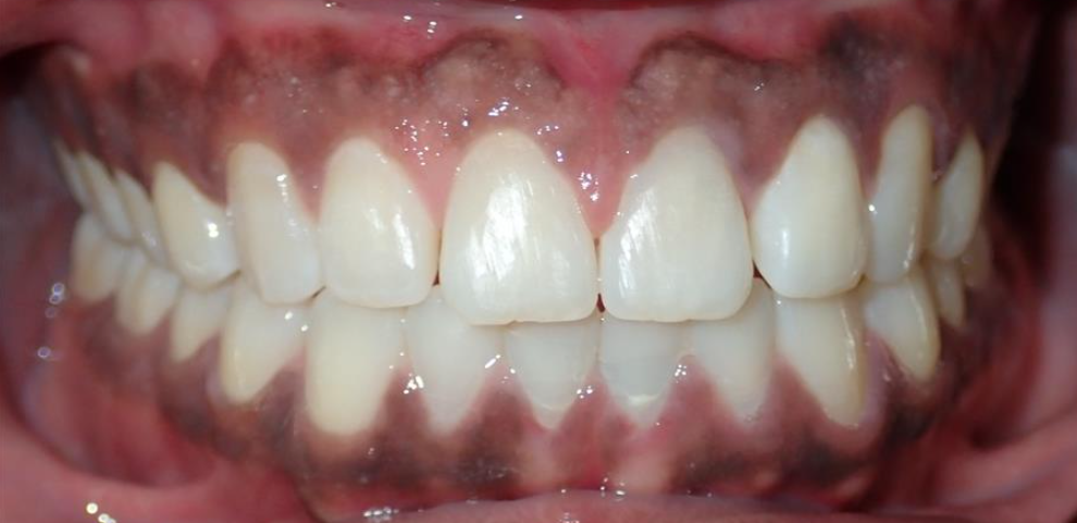
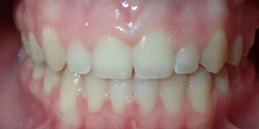
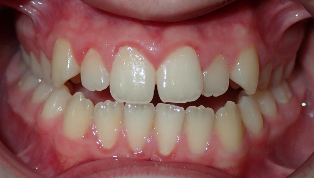
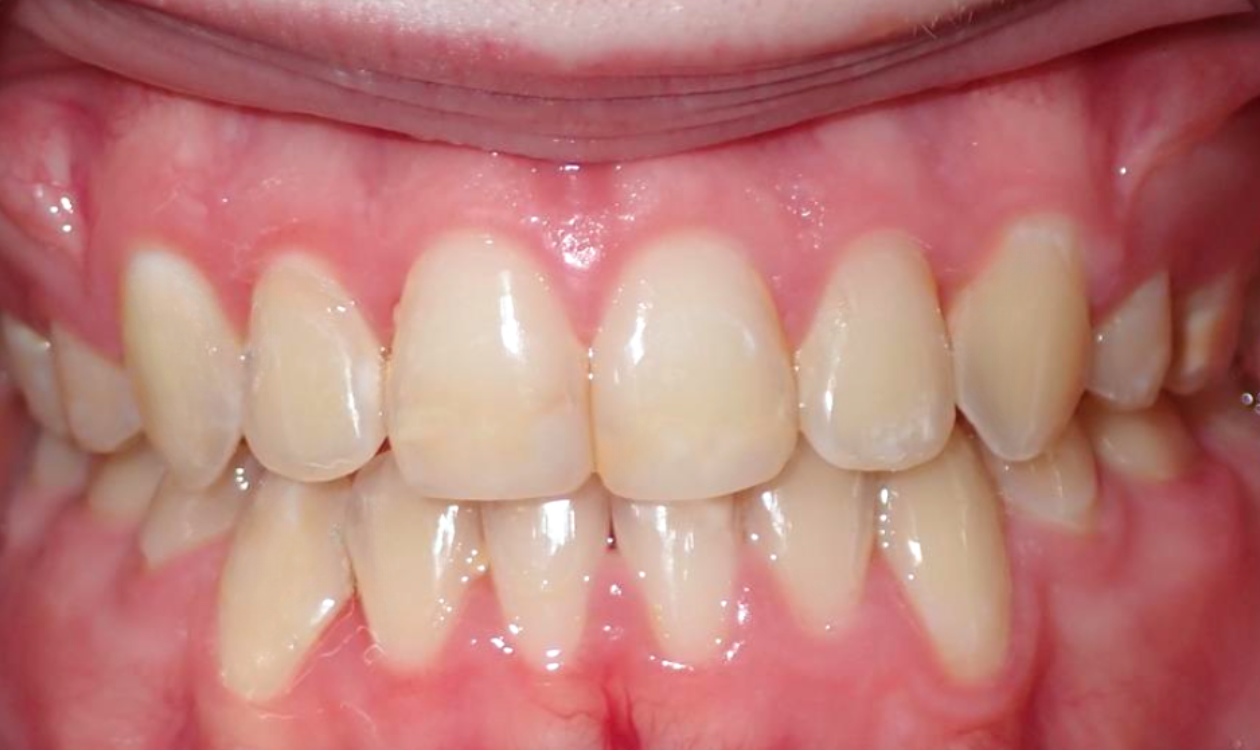
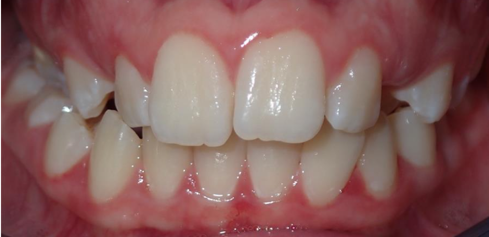
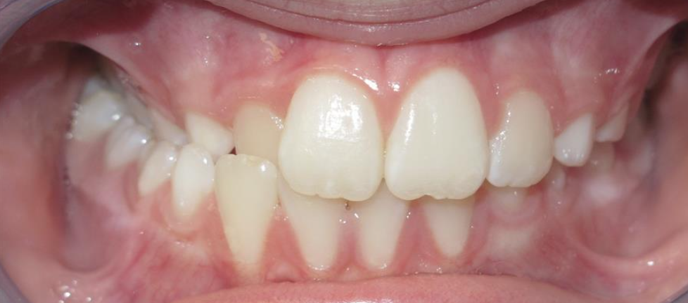
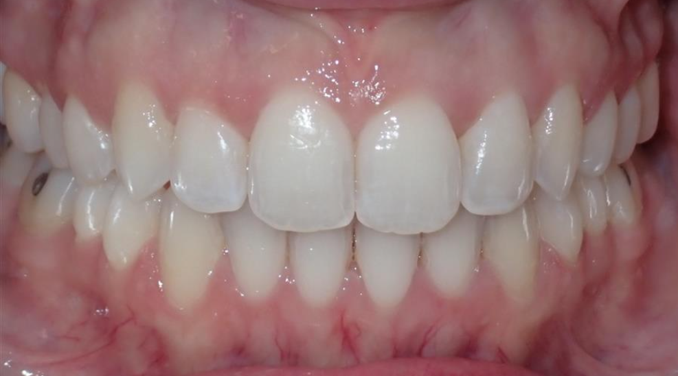
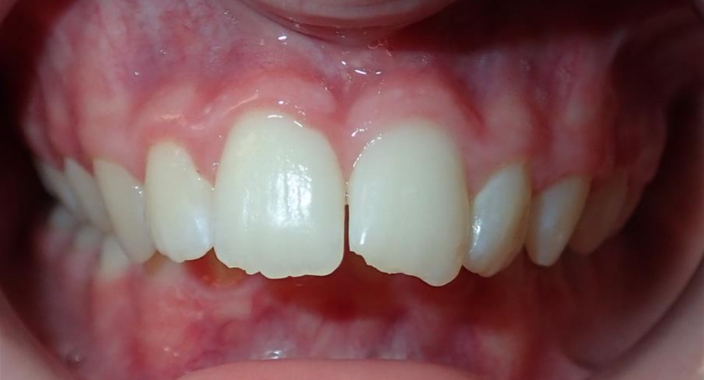
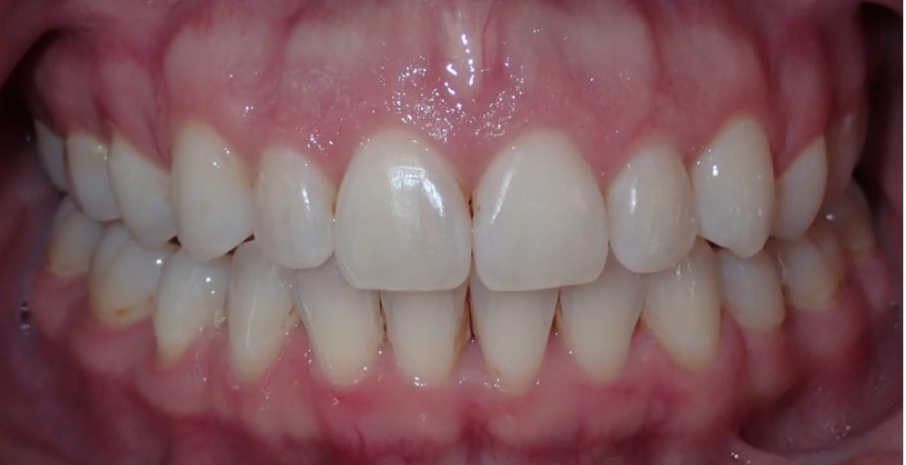
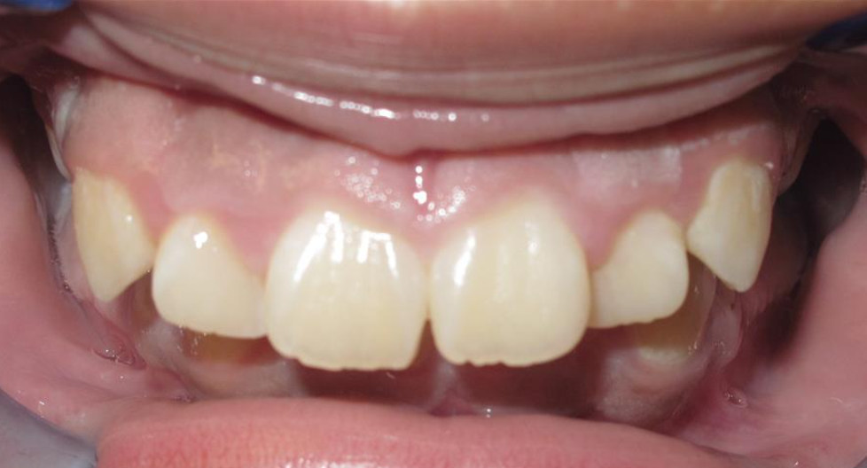
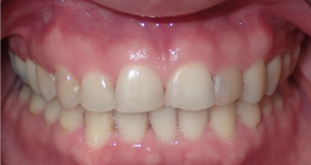
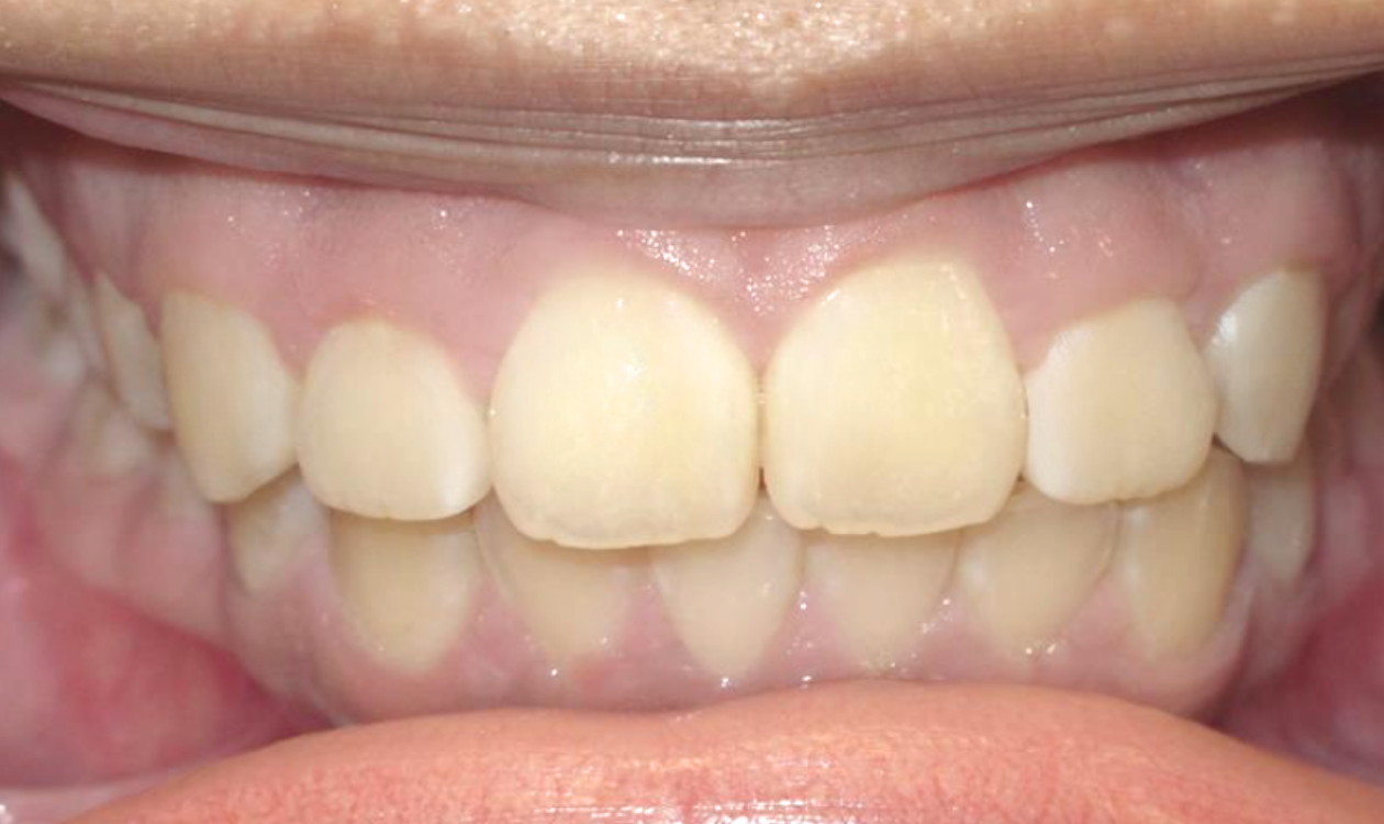
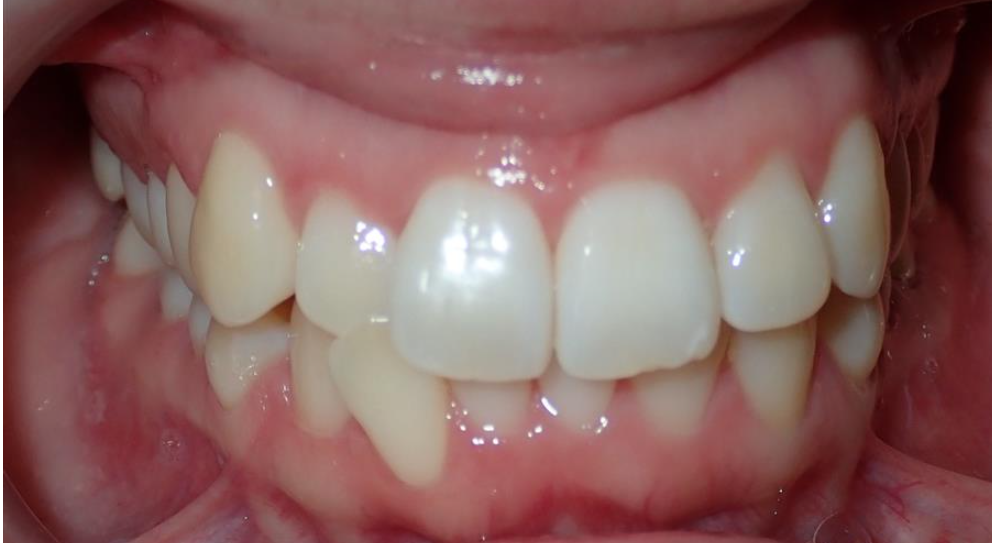
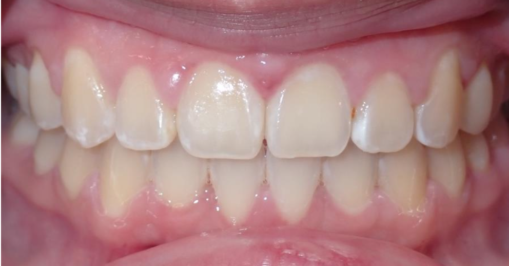
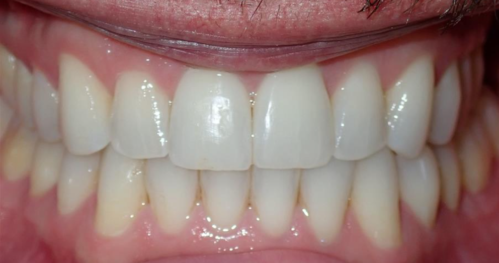
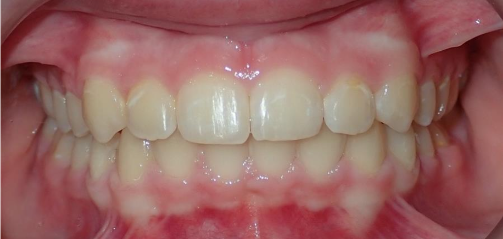
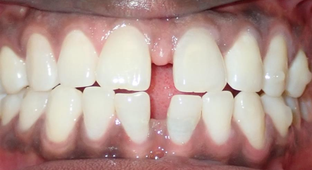
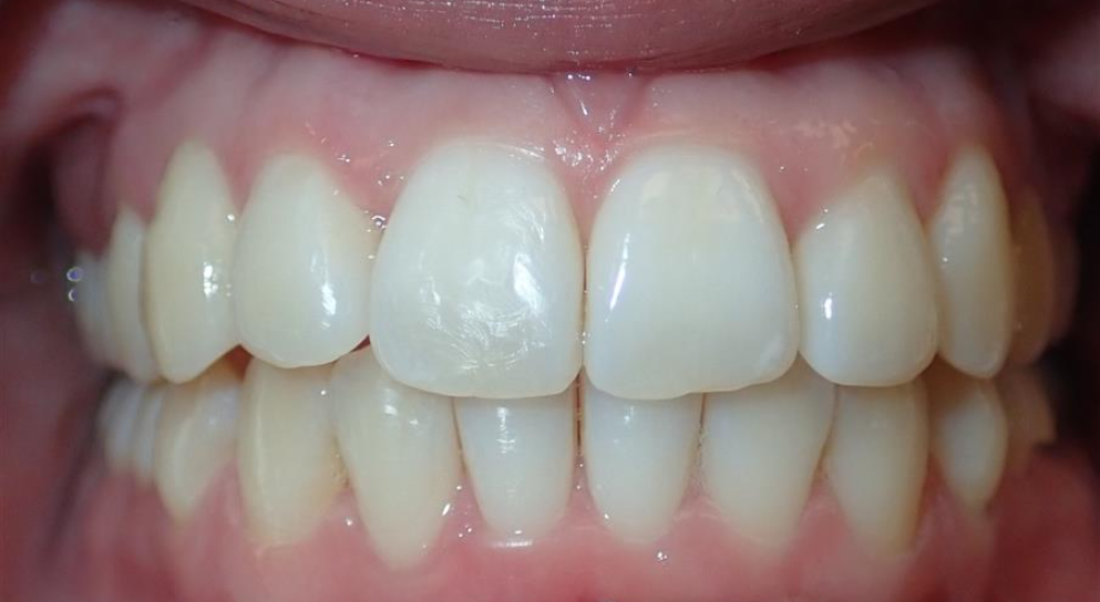
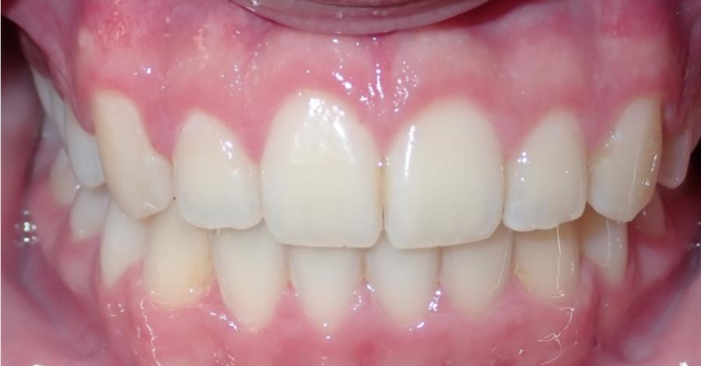
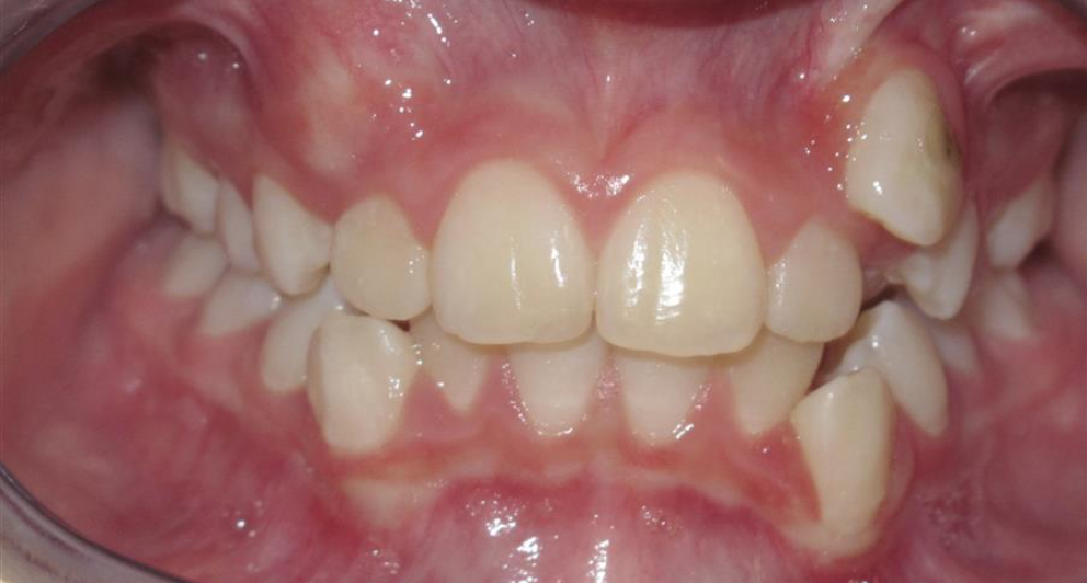
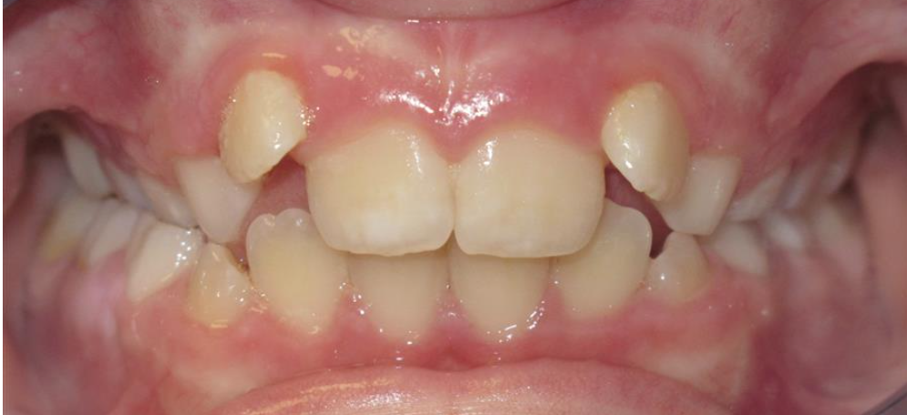
Smile Transformations
Welcome to our Smile Gallery, where transformations become reality.
At All Star Orthodontics, we believe every smile tells a story, and we are proud to be a part of yours. Our gallery features real patients, just like you, who embarked on a journey towards a more confident smile and achieved stunning results. Each image is a testament to our commitment to excellence and the power of a beautifully aligned smile. So, go ahead, explore these before and after images, and envision the possibilities for your own smile transformation!